
Bayburt'ta Erken Teşhis Hayat Kurtardı! İşte O Hastanın Hikayesi
Bayburt Devlet Hastanesi'ne öksürük ve balgam şikayetiyle başvuran 50 yaşındaki bir hasta, erken teşhis sayesinde sağlığına kavuştu. Akciğerinde tespit edilen kitle benzeri doku, yapılan tetkikler ve uygulanan tedavi ile ortadan kalktı. İşte o hastanın umut veren hikayesi...
Erken Teşhisin Önemi: Bayburt Örneği
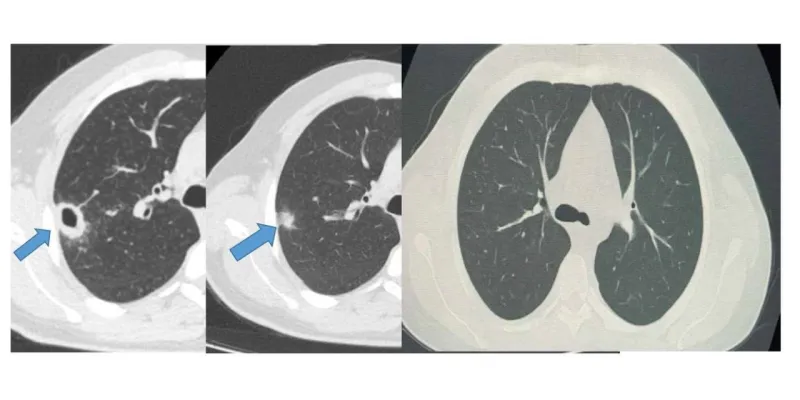
Bayburt Devlet Hastanesi'ne başvuran 50 yaşındaki hasta, öksürük ve balgam şikayetleri üzerine muayene edildi. Göğüs Hastalıkları Uzmanı Uzm. Dr. Hilal Sayma tarafından yapılan muayenede, hastanın akciğerinde kitle benzeri bir doku tespit edildi. Bu durum üzerine derhal ileri tetkiklere başlandı.
Uzm. Dr. Hilal Sayma, hastanın durumunu değerlendirerek bronkoskopi işlemini uygun gördü. Bronkoskopi sonucunda lezyonun kanser veya tüberküloz gibi ciddi hastalıklarla ilişkili olmadığı belirlendi. Bu, hem doktorlar hem de hasta için büyük bir rahatlama oldu. Erken teşhisin ne kadar önemli olduğu bir kez daha kanıtlanmış oldu.
Yapılan tetkikler sonucunda hastanın durumuna uygun bir tedavi planı oluşturuldu. İki haftalık tedavi sürecinin sonunda yapılan kontrollerde, lezyonun neredeyse tamamen gerilediği görüldü. Bu başarılı sonuç, erken teşhisin ve doğru tedavinin ne kadar etkili olduğunu bir kez daha gözler önüne serdi.
Bronkoskopi Nedir ve Neden Önemlidir?
Bronkoskopi, akciğerlerin ve hava yollarının incelenmesini sağlayan bir yöntemdir. Bu işlem sırasında, ucunda kamera bulunan ince bir tüp (bronkoskop) burundan veya ağızdan geçirilerek akciğerlere kadar ilerletilir. Bronkoskopi sayesinde, akciğerlerdeki anormal dokular, tümörler veya enfeksiyonlar tespit edilebilir.
Bronkoskopi, aşağıdaki durumlarda sıklıkla kullanılır:
- Öksürük ve balgam şikayetleri: Nedeni bilinmeyen öksürük ve balgam şikayetlerinde, akciğerlerdeki olası sorunları tespit etmek için kullanılır.
- Akciğer röntgeninde anormallik: Akciğer röntgeninde tespit edilen şüpheli alanların incelenmesi için kullanılır.
- Akciğer kanseri şüphesi: Akciğer kanseri şüphesi olan hastalarda, tümörün yerini ve türünü belirlemek için kullanılır.
- Yabancı cisim çıkarılması: Akciğerlere kaçan yabancı cisimlerin çıkarılması için kullanılır.
Erken Tanı ve Tedavinin Gücü
Bayburt'ta yaşanan bu olay, erken tanı ve doğru tedavinin hayat kurtarıcı etkisini bir kez daha ortaya koydu. Hastanın erken başvurusu, uzman doktorun doğru teşhisi ve uygulanan etkili tedavi sayesinde, hasta sağlığına kavuştu ve normal yaşamına döndü.
Unutmamalıyız ki, herhangi bir sağlık sorununda erken teşhis büyük önem taşır. Düzenli sağlık kontrolleri ve vücudumuzdaki değişikliklere karşı duyarlı olmak, sağlığımızı korumak için atabileceğimiz en önemli adımlardır.
Bu örnek olay, sağlık konusunda farkındalığın artırılması ve erken teşhisin önemi konusunda toplumun bilinçlendirilmesi açısından büyük bir önem taşımaktadır. Sağlıklı bir yaşam için erken teşhisin gücünü asla unutmayalım.













